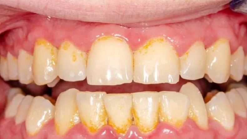
Menumpuknya Karang Gigi Membuat Mulut Terasa Bau

Menumpuknya Karang Gigi Membuat Mulut Terasa Bau

Menumpuknya Karang Gigi Merupakan Salah Satu Penyebab Utama Dari Bau Mulut Yang Tidak Sedap Karena Adanya Plak Gigi Yang Mengeras. Plak ini adalah lapisan lengket yang terdiri dari bakteri, sel-sel mati dan juga sisa makanan yang tidak di bersihkan secara rutin. Sehingga pada akhirnya akan mengeras dan berubah menjadi karang gigi. Proses ini biasanya di mulai ketika plak yang tidak di bersihkan mengendap di area yang sulit di jangkau sikat gigi. Misalnya saja kotoran plak yang berada di bawah garis gusi dan sulit untuk di bersihkan. Apalagi karang gigi yang menumpuk ini menjadi tempat berkembang biaknya bakteri, yang dapat menghasilkan senyawa sulfur yang menyebabkan bau mulut.

Lalu bau mulut yang di sebabkan oleh Menumpuknya Karang Gigi juga seringkali di sertai dengan gejala lain. Gejala tersebut dapat berupa seperti gusi yang merah, bengkak atau berdarah. Kondisi inilah yang bisa mengarah pada periodontitis yaitu infeksi gusi yang dapat merusak jaringan penyangga gigi. Bahkan hal terparahnya akan dapat menyebabkan bau mulut yang lebih parah. Sehingga ketika karang gigi tidak di hilangkan maka infeksi dapat menyebar lebih dalam dan memperburuk kondisi mulut secara keseluruhan. Jadi dapat di katakan bahwa bau mulut ini bukan hanya menandakan masalah kebersihan mulut. Namun juga bisa menjadi indikasi adanya masalah kesehatan gigi yang lebih serius.

Kemudian menjadi hal penting untuk menjaga kebersihan mulut untuk mencegah penumpukan karang gigi dan bau mulut. Tentunya dengan cara menyikat gigi secara teratur, menggunakan benang gigi dan berkumur dengan obat kumur antimikroba. Selain itu pemeriksaan rutin ke dokter gigi juga di perlukan untuk melakukan pembersihan profesional dan memeriksa adanya karang gigi yang sudah menumpuk. Jadi dengan perawatan yang tepat maka karang gigi akan dapat di cegah dan bau mulut dapat di hindari. Sehingga menjaga kesehatan mulut secara keseluruhan akan tetap terjalin optimal.

Penyebab Menumpuknya Karang Gigi

Hal utama yang menjadi Penyebab Menumpuknya Karang Gigi adalah oleh penumpukan plak yang tidak di bersihkan secara menyeluruh. Plak adalah lapisan lengket yang terdiri dari bakteri, sisa makanan dan sel-sel mati yang terbentuk di permukaan gigi dan gusi. Ketika plak ini tidak di hilangkan dengan menyikat gigi dan menggunakan benang gigi secara rutin maka ia akan mengeras. Sehingga setelah proses pengerasan tersebut terbentuklah menjadi karang gigi. Apalagi proses pengendapan ini seringkali di mulai di area yang sulit di jangkau seperti di bawah garis gusi atau di antara gigi. Sehingga hal inilah yang membuat pembersihannya menjadi lebih menantang.

Selanjutnya faktor lain yang dapat menyebabkan penumpukan karang gigi adalah pola makan yang tidak sehat. Konsumsi makanan dan minuman yang tinggi gula dan karbohidrat dapat meningkatkan jumlah bakteri di mulut yang mempercepat pembentukan plak. Kemudian minuman manis dan makanan yang lengket juga dapat memperburuk masalah jika tidak di bersihkan segera setelah konsumsi. Selain itu kekurangan dalam kebiasaan perawatan mulut juga berkontribusi pada penumpukan plak yang akhirnya mengeras menjadi karang. Misalnya saja seperti tidak menyikat gigi secara teratur atau tidak menggunakan benang gigi ketika membersihkannya.

Lalu faktor tambahan yang merupakan penyebabnya adalah produksi air liur yang rendah dan kondisi medis tertentu. Air liur di dalam mulut berfungsi untuk membersihkan bakteri dan sisa makanan dari mulut. Sehingga ketika produksi air liur ternyata tidak mencukupi akan dapat menyebabkan plak menumpuk lebih cepat. Lalu beberapa kondisi medis juga di katakan dapat memengaruhi produksi air liur atau kesehatan gigi dan gusi. Hal tersebut bisa seperti gangguan endokrin atau penggunaan obat-obatan tertentu. Sehingga jika faktor-faktor ini tidak segera di atasi maka penumpukan karang gigi akan terus terjadi. Tentunya hal ini akan meningkatkan risiko masalah kesehatan mulut seperti penyakit gusi dan kerusakan gigi.

Cara Menjaga Kesehatan Mulut

Menjaga kesehatan mulut sangat penting untuk mencegah berbagai masalah gigi dan gusi serta menjaga kesejahteraan umum. Lalu Cara Menjaga Kesehatan Mulut adalah dengan menyikat gigi secara rutin dua kali sehari menggunakan pasta gigi yang mengandung fluoride. Teknik menyikat gigi yang benar melibatkan penggunaan sikat gigi dengan bulu yang lembut dan gerakan memutar yang lembut untuk membersihkan setiap permukaan gigi dan garis gusi. Menyikat gigi dengan benar membantu menghilangkan plak dan mencegah pembentukan karang gigi. Yang di mana nantinya malah akan menyebabkan masalah seperti gigi berlubang dan penyakit gusi.

Lalu selain menyikat gigi ternyata penggunaan benang gigi setiap hari juga sangat penting. Benang gigi membantu membersihkan sisa makanan dan plak yang terperangkap di antara gigi dan di bawah garis gusi yang tidak dapat di jangkau oleh sikat gigi. Apalagi ini mengurangi risiko pembentukan karang gigi dan infeksi gusi terutama dengan menghilangkan sisa makanan dan plak di area tersebut. Apalagi penggunaan benang gigi secara rutin juga membantu mencegah bau mulut yang tidak sedap dan menjaga kesehatan gusi tetap optimal.

Kemudian kunjungan rutin ke dokter gigi juga merupakan bagian penting dari perawatan kesehatan mulut. Pemeriksaan gigi secara berkala biasanya di sarankan setiap enam bulan sekali. Sehingga memungkinkan dokter gigi untuk mendeteksi dan mengatasi masalah gigi dan gusi lebih awal sebelum menjadi masalah yang lebih serius. Selain itu pembersihan profesional yang di lakukan oleh dokter gigi juga dapat menghilangkan karang gigi. Apalagi yang termasuk tidak dapat di atasi dengan menyikat gigi dan flossing di rumah. Maka itu kombinasi dari kebiasaan perawatan gigi yang baik dan pemeriksaan rutin adalah kunci untuk menjaga kesehatan mulut. Termasuk dalam hal mencegah masalah kesehatan yang lebih besar di dalam area mulut.

Cara Menghilangkan Karang Gigi

Menghilangkan karang gigi memerlukan pendekatan yang melibatkan kebiasaan perawatan mulut yang baik serta kunjungan ke dokter gigi. Menjaga kebersihan gigi secara rutin adalah langkah pertama dalam Cara Menghilangkan Karang Gigi. Menyikat gigi dua kali sehari dengan pasta gigi berfluoride dan menggunakan benang gigi setiap hari membantu menghilangkan plak sebelum mengeras menjadi karang gigi. Meskipun begitu karang gigi yang sudah terbentuk tetap tidak bisa di hilangkan hanya dengan menyikat gigi di rumah.

Maka dari itu melakukan pembersihan profesional secara berkala di klinik gigi adalah hal yang penting. Dokter gigi atau profesional perawatan gigi menggunakan alat khusus untuk mengikis dan menghapus karang gigi yang menempel. Sehingga pembersihan ini tidak hanya menghilangkan karang gigi tetapi juga membantu mencegah masalah gusi yang lebih serius. Maka itu kombinasi antara perawatan di rumah yang konsisten dan pembersihan profesional secara berkala adalah cara yang efektif. Terutama untuk menjaga kesehatan gigi dan menghindari Menumpuknya Karang Gigi.